Loose teeth are more than just a minor annoyance they can signal underlying dental or systemic issues. While it’s common to associate a wobbly tooth with childhood development, in adults, loose teeth can be a sign of gum disease, trauma, or other health concerns. Understanding the causes, implications, and potential remedies is essential for maintaining long-term oral health.
Understanding Loose Teeth: Causes and Risk Factors
Loose teeth can occur for a variety of reasons, and recognizing the underlying cause is the first step toward addressing the problem. In adults, gum disease (periodontitis) is one of the most common triggers. As gum tissues and the supporting bone weaken, teeth may start to loosen gradually. Other risk factors include poor oral hygiene, chronic illnesses such as diabetes, hormonal changes, or physical trauma to the mouth. Interestingly, some studies show that nutritional deficiencies, particularly low calcium or vitamin D, can exacerbate tooth instability. Even habits like teeth grinding (bruxism) or chewing on hard objects can accelerate the loosening process. Understanding these risk factors can help in both preventing and managing loose teeth before they lead to more serious complications.Identifying Symptoms Associated with Loose Teeth
When it comes to loose teeth, symptoms can vary significantly depending on the cause. Besides the obvious mobility, you may notice bleeding gums, persistent bad breath, or changes in the way your bite feels. Pain isn’t always present, which sometimes leads people to ignore the problem until it worsens. Dental researchers have found that early detection is critical. A tooth that wobbles slightly may be stabilized if the underlying issue is addressed promptly. This might involve lifestyle adjustments, improved oral hygiene routines, or professional dental interventions. Monitoring symptoms carefully can make a significant difference in long-term outcomes for those experiencing loose teeth.Professional Treatments for Loose Teeth
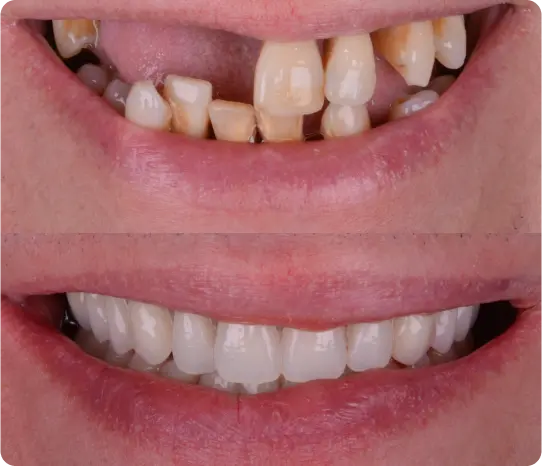
When facing loose teeth, professional dental intervention often becomes necessary. Dentists may recommend treatments such as scaling and root planing to remove plaque and tartar buildup that weakens gums. In cases where bone loss is significant, regenerative procedures like bone grafts or guided tissue regeneration can help stabilize teeth. Another common approach is splinting, where a loose tooth is bonded to adjacent teeth for support. This method not only reduces mobility but also allows healing of surrounding tissues. Research indicates that timely intervention can significantly improve the prognosis for loose teeth, especially when combined with good oral hygiene practices.At-Home Care for Loose Teeth
Maintaining loose teeth at home requires careful attention. Gentle brushing with a soft-bristled toothbrush and flossing around the affected area can prevent further damage. Rinsing with an antimicrobial mouthwash may reduce bacterial buildup and inflammation. Some natural approaches, such as saltwater rinses, have been shown to support gum health, though they should complement, not replace, professional care. Avoiding habits like chewing hard foods, nail-biting, or using teeth as tools can also help prevent worsening mobility.Nutritional Approaches to Support Tooth Stability
Diet plays a subtle yet important role in maintaining loose teeth. Adequate intake of calcium, vitamin D, and vitamin K2 supports bone density and gum strength. Foods rich in these nutrients such as dairy, leafy greens, and fatty fish can contribute to oral resilience. Some studies suggest that antioxidants from fruits and vegetables may also protect gum tissues from inflammation. While nutrition alone cannot reverse advanced tooth mobility, it can complement other care strategies to slow progression.Behavioral and Lifestyle Factors Affecting Loose Teeth
Lifestyle choices significantly influence the health of loose teeth. Smoking, for example, reduces blood flow to gums and impairs healing, increasing the risk of tooth mobility. Stress-induced teeth grinding can accelerate wear and loosen teeth prematurely. Regular dental checkups, stress management techniques, and conscious avoidance of harmful habits form a holistic approach to preserving oral health. People who combine professional treatment with mindful daily practices generally see the best outcomes for managing loose teeth.Innovative Dental Technologies and Loose Teeth
Recent advancements in dental technology offer new ways to address loose teeth. Laser therapy, for instance, can reduce gum inflammation and promote tissue regeneration. Digital imaging allows precise assessment of bone loss, making treatments more targeted and effective. Some clinics are exploring platelet-rich plasma (PRP) and other regenerative therapies to support periodontal health. While not universally adopted, these technologies reflect a growing trend toward less invasive, more biologically supportive interventions for loose teeth.Long-Term Implications of Loose Teeth
Experiencing loose teeth can have consequences beyond mere dental discomfort. Untreated mobility may lead to misalignment, difficulty chewing, or even tooth loss. Some studies indicate a correlation between severe periodontal disease, which often causes loose teeth, and systemic conditions like cardiovascular disease and diabetes. Monitoring and managing tooth stability is therefore not just about oral health but overall wellness. Even minor mobility should prompt evaluation, especially if combined with bleeding gums or gum recession.The Role of Genetics in Tooth Mobility
Genetics can influence susceptibility to loose teeth. Variations in genes affecting collagen production, bone density, or immune response can make some individuals more prone to periodontal breakdown. Family history of early tooth loss or gum disease may serve as an early warning. Genetic predispositions highlight why personalized dental care is increasingly important in modern oral health strategies.Connection Between Hormones and Loose Teeth
Hormonal fluctuations, particularly during pregnancy or menopause, can affect gum health and tooth stability. Elevated levels of progesterone and estrogen may increase gum sensitivity and inflammation, contributing to loose teeth. Dentists often advise extra monitoring during these periods. Awareness of these hormonal influences can help anticipate temporary changes in tooth mobility and guide preventive care.Psychological and Social Impact of Loose Teeth
Loose teeth can affect confidence, social interactions, and even mental health. Adults experiencing visible tooth mobility may feel self-conscious about smiling or speaking, influencing social behavior. Understanding this psychosocial dimension emphasizes the importance of early intervention. Supportive counseling, combined with dental care, can mitigate the psychological burden associated with dental issues.Preventive Measures to Protect Loose Teeth
Preventing loose teeth involves a multi-layered approach. Regular dental checkups, proper brushing and flossing, and avoiding harmful habits are foundational. Using mouthguards for bruxism or protective gear during sports can reduce trauma-related mobility. Emerging research also suggests that probiotics and certain oral rinses may help maintain a healthy microbial balance, indirectly supporting tooth stability. Combining professional care with consistent home practices gives the best chance to preserve teeth long-term.Case Studies and Observational Insights
Observational studies on patients with loose teeth provide valuable insights. For instance, early intervention with non-invasive therapies often stabilizes teeth within months, while neglect can result in progressive bone loss. Dental professionals have also noted that lifestyle modifications such as improved nutrition and quitting smoking complement clinical treatments, highlighting the interplay between daily habits and professional care in maintaining dental stability.
Fun Facts About Tooth Mobility
Even though loose teeth are often seen as a problem, they can have curious scientific tidbits. For example, deciduous teeth naturally loosen to make way for adult teeth, showcasing nature’s method of tissue remodeling. In some cultures, wiggly teeth are celebrated as a sign of growth or a rite of passage, highlighting how social perceptions of tooth mobility can vary widely. Understanding these nuances adds depth to our appreciation of dental health beyond clinical considerations.Navigating Loose Teeth Wisely
In conclusion, loose teeth are a complex phenomenon influenced by genetics, lifestyle, nutrition, hormones, and dental hygiene. While professional interventions are key, preventive measures and mindful daily habits play an equally crucial role. The most important takeaway is that mobility should never be ignored. Timely observation, comprehensive care, and awareness of broader health connections allow individuals to manage loose teeth effectively, preserving both oral and overall well-being.Get Your Free Consultation
Have questions? Leave your details and we'll get back to you as soon as possible.
Get Free Consultation