



Trusted Dental Implants in Turkey
Achieve Lasting Confidence with Lifetime Guaranteed Dental Implants in Turkey
Dental implants in Turkey are among the most preferred solutions for patients seeking reliable, natural looking, and cost effective results. At ClinicHI in Istanbul, our internationally trained dentists perform implant treatments using advanced technology and evidence based protocols, ensuring both safety and precision.
With lifetime guaranteed implants, personalized treatment plans, free VIP transfers, and 5 star accommodation, patients not only restore their smiles but also enjoy a seamless and transparent journey from consultation to aftercare.

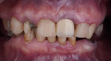
Life Changing Transformations with Dental Implants in Turkey
See how our patients regained their natural smiles and confidence through advanced dental implant treatments at ClinicHI. Real results, real stories.


Discover the Real Experience of Dental Implants in Turkey
ClinicHI shares real patient journeys through authentic video reviews. Hear directly from those who experienced our dental implants treatments in Turkey. See how life changing results and world class care come together at ClinicHI.
What Is a Dental Implant?
A dental implant is a titanium post surgically placed into the jawbone to replace a missing tooth root. It serves as a stable foundation for crowns, bridges, or dentures, mimicking the function of natural teeth. Through a process called osseointegration, the implant fuses with the bone, providing long-term stability and support.
Key benefits of dental implants:
- Natural function: Restores normal chewing and biting.
- Durability: Titanium posts are highly resistant to wear and corrosion.
- Bone preservation: Helps maintain jawbone structure and prevent resorption.
- Esthetic restoration: Supports crowns that closely resemble natural teeth.
Are Dental Implants Painful?
The procedure is usually performed under local anesthesia, so patients remain awake but pain-free. Mild discomfort, swelling, or bruising may occur during healing, which is typically manageable with over-the-counter pain medication. Most patients report that the procedure is well-tolerated.
Healing and Eating After Implants
Initially, soft foods are recommended during the healing period. After full osseointegration, patients can chew normally, including firm foods like apples. It’s important to avoid excessive force on newly placed implants to protect the surrounding bone and crown.
Downsides of Dental Implants
While implants are highly effective, potential drawbacks include:
- Surgical risks and healing time
- Cost of the procedure, including implant, abutment, crown, and preparatory work
- Risk of infection or implant failure
- Requirement for sufficient bone density and healthy gums
How Much Does a Tooth Implant Cost?
The cost of a single dental implant varies depending on the country, clinic expertise, and materials used. On average, prices range from several hundred to a few thousand dollars. Total cost typically includes:
- The titanium implant post
- Abutment (connector piece)
- Crown (the visible tooth)
- Preparatory procedures such as bone grafting if needed
Although the initial investment may be higher than alternatives like bridges or dentures, implants offer long-term durability, natural function, and esthetic benefits.
Longevity of Dental Implants
With proper oral hygiene and regular dental checkups, implants can last 20 years or more. While the titanium post is extremely durable, the crown may require replacement over time due to wear. Factors affecting longevity include:
- Bone health and density
- Oral hygiene practices
- Avoidance of harmful habits like teeth grinding or smoking
Who Should Avoid Dental Implants?
Certain patients may not be ideal candidates for dental implants, including:
- Individuals with uncontrolled diabetes or active gum disease
- Patients with insufficient bone density or severe bone loss
- Heavy smokers
- Young patients whose jawbones are still developing
Dentists evaluate overall oral and general health to determine if an implant is appropriate. In some cases, preparatory procedures like bone grafts may be required before implant placement.
Alternatives to Dental Implants
For those unable or unwilling to get implants, alternatives include:
- Dental bridges: Use neighboring teeth for support, restoring function and appearance.
- Partial dentures: Removable replacements for missing teeth.
- Full dentures: For patients missing multiple teeth.
While these options may be less invasive or less costly initially, they do not provide the same stability, chewing efficiency, or bone preservation as implants.
Surgical Process and Recovery
Dental implant surgery is usually performed under local anesthesia, so patients are awake but pain-free. Sedation options, such as nitrous oxide or oral sedatives, may be offered for anxious or complex cases. The number of stitches depends on the surgical site and whether bone grafting was performed, typically 1–3 dissolvable sutures, which heal within 1–2 weeks.
During the initial healing period, patients may experience:
- Mild swelling or tenderness
- Temporary diet restrictions (soft foods recommended)
- Minor bruising
Most discomfort is manageable and short-lived.
The 3/2 Rule for Dental Implants
The 3/2 rule is a guideline for implant-supported restorations:
- One implant typically supports a single tooth
- Two implants can support a three-unit bridge
Do’s and Don’ts After a Dental Implant
- ✔ Maintain excellent oral hygiene
- ✔ Attend follow-up appointments
- ✔ Eat soft foods initially and gradually return to a regular diet
- ✔ Follow all dentist instructions carefully
- ✖ Smoke or neglect oral hygiene
- ✖ Bite extremely hard foods or use implants as tools
- ✖ Skip checkups, which can compromise healing and implant longevity
Best Age and Suitability
Dental implants are generally recommended for adults after age 18, once the jawbone has fully developed. There is no strict upper age limit, as long as bone density and overall health are adequate. Patients with chronic illnesses, severe bone loss, or conditions affecting healing may require alternative treatments.
Why Dental Implants Are Worth It
Dental implants are often considered the best long-term solution for missing teeth because they:
- Preserve jawbone density
- Maintain adjacent teeth integrity (unlike bridges)
- Provide natural function and aesthetics
- Offer reliable durability for decades
How Much Do Dental Implants Cost in Turkey?
Dental implants in Turkey have become increasingly popular among international patients due to their affordability and high-quality standards. Understanding the cost factors and what makes them cheaper than in other countries can help you make an informed decision.
Why Are Implants Cheaper in Turkey?
Dental implants are generally less expensive in Turkey without compromising on quality. Several factors contribute to the lower prices, making Turkey a preferred destination for patients seeking cost-effective dental solutions.
Reduced Operating Expenses
Clinics in Turkey benefit from lower operating costs, including labor and rent, compared to countries like the UK or the US. These savings are passed on to patients, reducing the overall cost of dental implants.
Government Support Programs
The Turkish government supports dental tourism through initiatives that help clinics reduce taxes and operational expenses. These programs allow clinics to offer competitive prices to international patients.
Bulk Procedures
Many dental clinics in Turkey treat a high volume of patients daily. Bulk procedures and efficient workflows allow clinics to maintain high quality while keeping costs lower for each individual implant.
Cost of a Single Dental Implant in Turkey
The price of a single dental implant in Turkey varies depending on the clinic, materials, and the complexity of the procedure. On average, patients can expect significantly lower costs compared to countries in Western Europe or North America, while still receiving excellent care.
Materials and Types of Dental Implants in Turkey
Turkey offers a wide range of dental implant materials and types, allowing patients to choose the solution that best fits their oral health needs and budget. Understanding the options is essential for a successful treatment outcome.
Titanium Implants
Titanium implants are the most commonly used type of dental implant in Turkey. Known for their strength, durability, and high success rates, they integrate well with the jawbone and provide a long-lasting foundation for crowns or bridges.
Zirconia Implants
Zirconia implants are a metal-free alternative that offers excellent aesthetics, especially for patients with metal sensitivities. They provide a natural tooth-like appearance and are increasingly popular in cosmetic dental procedures.
Full Mouth Restoration
Full mouth restoration involves replacing multiple teeth or the entire set of teeth using implants. This treatment is ideal for patients with severe tooth loss or damage and can dramatically improve both function and appearance.
Implant-Supported Bridge
An implant-supported bridge uses dental implants to anchor multiple replacement teeth. This option provides stability and durability, allowing patients to regain full chewing function and natural aesthetics.
Same-Day Dental Implants
Same-day dental implants, also known as immediate implants, allow patients to receive implants and temporary crowns in a single visit. This approach minimizes downtime and provides quicker restoration of function and appearance.
Single Dental Implants
Single dental implants are designed to replace one missing tooth at a time. They are cost-effective, durable, and provide a natural look, making them a popular choice for patients needing individual tooth replacement.
Types of All-on-X Implant Systems
All-on-X implant systems are a revolutionary solution for patients who need full-arch tooth replacement. These systems use a fixed number of implants to support a full set of teeth, providing stability, function, and aesthetics.
All on 4
The All-on-4 system uses four strategically placed dental implants to support a full arch of teeth. It is a cost-effective option that reduces the need for bone grafting and offers quicker recovery times.
All on 6
The All-on-6 system uses six implants to provide stronger support for a full arch. This option is ideal for patients with moderate bone density and offers enhanced stability and durability for long-term use.
All on 8
All-on-8 systems use eight implants for maximum support, especially suitable for patients with high bite forces or those seeking the most stable full-arch restoration. This system provides exceptional strength and longevity.
3 on 6
The 3-on-6 system is a hybrid approach where three implants support a partial arch, or six implants support a full arch, depending on patient needs. It offers flexibility in treatment planning while maintaining stability and function.
Advantages of Getting Dental Implants in Turkey
Turkey has become a preferred destination for dental implants due to its combination of high-quality treatment, experienced specialists, and cost-effective solutions. Understanding the advantages can help patients make informed decisions.
Natural Appearance
Dental implants in Turkey are designed to closely mimic the look and feel of natural teeth. Advanced materials and precise fabrication techniques ensure that implants blend seamlessly with existing teeth, providing an aesthetically pleasing result.
Simple to Maintain
Once placed, dental implants are easy to care for. Regular brushing, flossing, and dental check-ups are sufficient to maintain oral health and prolong the lifespan of the implants, just like natural teeth.
Strong and Stable
Implants are anchored directly into the jawbone, providing excellent stability and support for chewing and speaking. This stability ensures that implants function like natural teeth without slipping or shifting.
Durable and Long-Lasting
With proper care, dental implants can last for decades. High-quality materials and skilled placement in Turkish clinics ensure long-term durability and reliable performance, making them a worthwhile investment in oral health.
FAQ About High-Quality Teeth Implants in Turkey
Patients considering dental implants in Turkey often have many questions about treatment, recovery, and results. Here are answers to the most frequently asked questions to help you make informed decisions.
How Long Do Turkey Dental Implants Last?
With proper care and regular dental check-ups, dental implants in Turkey can last 15 to 25 years or even longer. High-quality materials and precise placement contribute to their long-term durability.
What Should I Do If I Have a Problem with My Dental Implant?
If you experience discomfort, swelling, or mobility in your implant, contact your dentist immediately. Turkish clinics typically provide follow-up support and maintenance to ensure optimal results.
Is Getting Dental Implants in Turkey Worth It?
Yes. Many international patients find that the combination of affordable pricing, high-quality care, and experienced specialists makes dental implants in Turkey a worthwhile investment for oral health and aesthetics.
Can a Dental Implant Come Loose or Fall Out?
Dental implants are designed to integrate with the jawbone, making them very stable. While rare, loosening can occur due to infection, insufficient bone density, or excessive force. Regular care and proper placement minimize this risk.
Will I Feel Pain During Surgery?
Dental implant procedures are performed under local anesthesia or sedation, so patients generally feel little to no pain during surgery. Some mild discomfort may occur during the recovery period.
Can I Get a Dental Implant Right After Tooth Extraction?
Immediate implants are possible in some cases, depending on bone condition and oral health. Your dentist in Turkey will assess your situation and recommend whether same-day placement is suitable.
Is There an Age Limit for Dental Implants?
There is no strict upper age limit, but sufficient jawbone density is required. Young patients must have fully developed jawbones. A dental assessment will determine eligibility for implants.
How Many Days Are Needed in Turkey for Full Mouth Implants?
Typically, patients spend 7 to 10 days in Turkey for full mouth implants, including consultation, surgery, temporary crown placement, and initial follow-up. Exact duration depends on the complexity of the procedure and individual healing.
Dental Tourism: Turkey and Other Countries
Countries like Turkey, Hungary, Poland, and Mexico are popular for dental implants due to high-quality care at lower costs. Turkey, in particular, attracts patients with modern techniques, certified specialists, and competitive pricing while maintaining reliable outcomes.
