The curiosity around how to Remove Tartar at home has grown as people look for ways to understand what this hardened buildup really is and whether it can be managed without professional tools. While tartar removal is traditionally linked to clinical cleanings, many readers wonder about the science behind plaque hardening, how various lifestyle factors influence it, and what the limits of at home care might be. This article explores those questions with a balanced, research supported and engaging approach.
Understanding What Makes Tartar Form
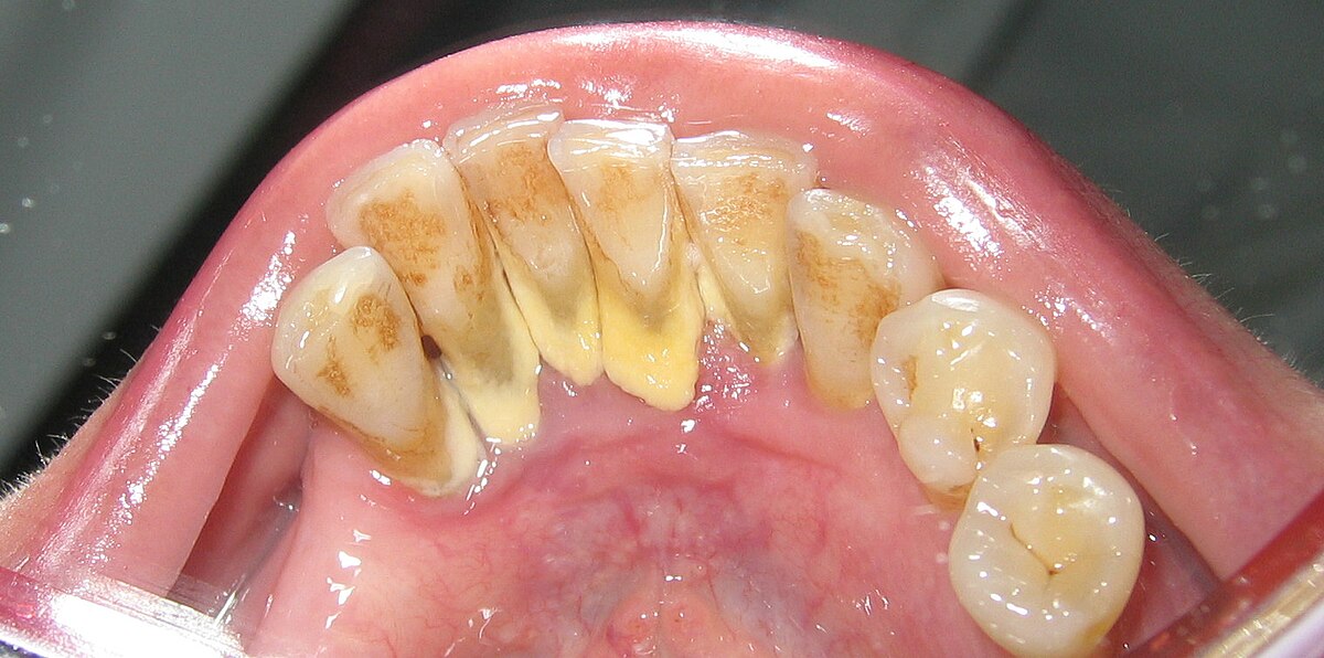
Before exploring whether someone can remove tartar at home, it helps to understand how it forms. Tartar, known as dental calculus in scientific literature, begins as soft plaque made of bacteria, proteins and food residues. When plaque stays on the tooth surface long enough, minerals from saliva transform it into a harder, porous structure that bonds tightly to enamel. This process can start in a matter of days, which is why daily care plays such an important role. Studies examining salivary mineral composition show that some individuals naturally accumulate deposits faster than others. Differences in pH levels, genetics and diet can all influence how rapidly plaque hardens. Because tartar is more resistant to brushing once it mineralizes, people often come to believe that solutions must be entirely mechanical, though the reality is more complex. Understanding this process is essential for readers who want to explore ways to slow buildup or analyze the limits of at home approaches.Can You Realistically Remove Tartar at Home?
When people look for ways to Remove Tartar without professional help, they are usually motivated by convenience, curiosity or anxiety about dental visits. Scientific publications generally agree that once tartar is fully formed, only specialized tools can detach it safely. However, there is growing discussion about how early stage buildup behaves and how lifestyle habits might influence its texture and adhesion. Some researchers note that very thin layers of newly mineralized plaque may be more receptive to disruption compared to long standing deposits. This has led to popular discussions about textures, abrasion levels and chemical interactions that might influence surface roughness. While these ideas do not replace professional care, they give readers a deeper understanding of what is happening on the enamel surface and why some methods appear to produce subtle visual differences.Daily Habits That Influence Buildup
Habits play a central role in how quickly tartar forms. Even though this section does not aim to offer direct medical instruction, it can highlight scientific correlations. For example, analysis of dietary patterns suggests that frequent sugar exposure changes the oral environment in ways that promote plaque activity. Similarly, dehydration can affect saliva flow, and saliva is a natural regulator of mineral balance. Routine oral activities, such as the pressure used while brushing or the sequence of cleaning steps, may also contribute to how thoroughly plaque is disrupted before it hardens. Small behavioral patterns repeated over months or years create cumulative effects on tartar texture and distribution. Readers often find this perspective helpful because it shifts the conversation from single solutions to a broader understanding of daily influences.At Home Myths vs Evidence Inspired Insights
Many people explore home remedies that claim to Remove Tartar quickly. These ideas circulate widely online, yet they often mix partial truths with misunderstandings. Substances like baking soda, acidic fruits or herbal mixtures are frequently mentioned in anecdotal discussions. While some have measurable effects on pH or surface debris, research shows they cannot detach firmly hardened calculus. What they may influence, according to experimental observations, is how plaque behaves before it calcifies. Certain mild abrasives can change texture, while plant based extracts may modify bacterial activity. These findings do not offer a complete alternative to cleaning but provide scientific context for why some home practices appear to make teeth feel smoother or look slightly brighter. Distinguishing these subtle effects from unrealistic expectations is key to clearer understanding.How Microstructures on Teeth Affect Tartar
Tooth enamel is not a perfectly smooth surface. Under microscopy, enamel shows ridges, pits and unique structural variations that make certain areas more prone to buildup. This is why tartar often forms behind lower front teeth or near molars where saliva ducts are active. Exploring enamel microtexture helps explain why people perceive tartar differently depending on lighting, angle or hydration. Researchers also examine how early deposits bond to enamel crystals. The bond strengthens over time, meaning early stages might behave differently from older buildup. This explains why some readers notice small improvements with home care even though long standing tartar does not change. Understanding these micro interactions adds depth to the conversation and helps people interpret what they see in the mirror more accurately.Exploring Natural Compounds and Their Limits
The interest in using natural substances to Remove Tartar often comes from the desire for gentler, more familiar ingredients. Various plant extracts, mineral based powders and fruit derived acids appear in discussions across scientific forums and experimental oral health research. While these substances are frequently examined in laboratory environments, their effects in real life scenarios differ greatly because tartar’s hardness varies with age, density and location on the tooth. In controlled studies, some natural compounds demonstrate the ability to influence surface chemistry. Mild alkalizing agents can shift pH levels, while certain essential oil components appear to reduce bacterial adhesion. These factors may help slow the transition from plaque to calculus, especially when paired with routine oral hygiene. However, none of these compounds show the mechanical power required to detach fully calcified deposits. Understanding this gap between potential and reality helps readers interpret trends they see online with more nuance.Mechanical Methods People Commonly Attempt
Curiosity often leads individuals to explore whether pressure based or scraping based techniques can Remove Tartar at home. This is a popular subject in online discussions, yet scientific and professional commentary consistently highlight the risks associated with improvised tools. Tartar adheres tightly to enamel, meaning attempts to pry it off using unregulated instruments can affect tooth surfaces, gum tissue or the microscopic structure of enamel rods. Some research into abrasion has revealed interesting details about how different textures interact with softened plaque. Soft bristles, microfibre textures or finely milled polishing powders may influence the surface feel of the teeth. However, these effects primarily impact uncalcified material rather than fully formed deposits. The takeaway for readers is that while mechanical pressure can alter surface sensations temporarily, removing solid calculus requires precision tools that distribute force in controlled ways.Why Early-Stage Buildup Behaves Differently
One of the most compelling aspects of learning how to Remove Tartar naturally is understanding why early stage buildup feels more responsive. Before plaque hardens, it remains a biofilm that relies on moisture and bacterial activity to maintain its structure. This softer stage responds to brushing patterns, chemical shifts and surface friction more noticeably. That is why people often feel smoother tooth surfaces after experimenting with home routines. In contrast, once minerals integrate into the biofilm, a crystalline structure forms that can vary based on mineral composition. Researchers categorize these variations into different types of calculus, each with distinct density levels. This diversity explains why some tartar deposits appear chalky and others more stone-like. By recognizing the differences in early versus late stages, readers develop a clearer understanding of which results are realistic and which expectations might be influenced by misleading online examples.Lifestyle Patterns That Shape Tartar Formation
Long term habits can significantly shape how tartar forms and how difficult it becomes to manage. Not all of these influences relate directly to oral hygiene. Studies have shown that breathing patterns, hydration cycles, dietary acids and even sleep habits can impact plaque’s chemical environment. These subtle factors help explain why people with seemingly similar routines experience different tartar patterns. For example, individuals who frequently consume very cold or very hot drinks may experience alternating expansion and contraction cycles on enamel surfaces. Although the effects are not dramatic, they may influence where micro pockets form. Similarly, variations in meal timing can affect saliva flow, which plays a key role in plaque mineralization. Understanding these patterns gives readers a broader scientific context to interpreting their own situations rather than searching for one single cause.The Role of Oral Microbiome Dynamics
Another fascinating area of research involves the oral microbiome and its relationship to tartar accumulation. When people attempt to Remove Tartar at home, they may not realize that bacterial diversity influences how quickly plaque matures. Some bacterial species produce more extracellular matrices, while others influence pH more dramatically. The combination of these organisms determines the texture and mineral behavior of plaque. Microbiologists studying dental biofilms often highlight that altering this community can affect how aggressively plaque calcifies. Diet, stress, hydration and oral habits all shape microbiome composition. Though modifying the microbiome does not remove existing tartar, it can influence how future deposits behave. This understanding allows readers to appreciate that tartar is not simply a mineral crust but part of a dynamic biological ecosystem.Visual Cues That Mislead Many Observers
People sometimes believe home practices have helped them significantly Remove Tartar, when in reality they have affected only surface staining or plaque softness. Differences in lighting, tooth hydration, camera angles and even mirror magnification can create misleading impressions. For example, dehydrated enamel appears whiter and more matte, which some mistake for tartar removal. Conversely, small shadows near gumlines may exaggerate deposits. Scientific imaging studies demonstrate that enamel translucency and refractive index vary with moisture levels, meaning a tooth can look different within minutes depending on environmental conditions. These optical quirks explain why people perceive changes that are not necessarily related to hardened calculus. Understanding these visual distortions helps readers form more accurate expectations when evaluating their teeth at home.Patterns of Tartar Buildup Across Different Teeth
People often wonder why certain areas accumulate more hardened deposits than others and why attempts to Remove Tartar at home seem more successful on specific surfaces. Research on saliva flow and chewing patterns provides interesting insights. Molars, for example, sit near major salivary ducts, making them more exposed to mineral rich fluid. This environment encourages faster plaque mineralization, especially along the gumline and inner surfaces. Front teeth, particularly on the lower jaw, frequently show the most visible calculus. Their location near salivary ducts means plaque can harden quickly, leading to recognizable yellow or off white formations. However, these areas also tend to feel smoother after brushing because the tongue constantly rubs against them, creating the impression that tartar is loosening even when the deeper layers remain intact. Understanding these differences helps readers interpret changes realistically rather than assuming uneven results reflect personal mistakes.Exploring Home Techniques and the Science Behind Them
Many people who try to Remove Tartar at home experiment with various at home routines popularized across digital platforms. Some techniques revolve around texture, others around temperature, and some rely on chemical interactions. What makes this topic scientifically intriguing is how differently these methods behave depending on enamel composition, saliva chemistry and the hardness of the existing calculus. For instance, substances with mild abrasiveness can affect surface roughness and temporarily change how the tongue perceives the tooth’s texture. Acidic mixtures, on the other hand, can alter the surface environment without penetrating the structure of hardened calculus. Temperature based methods change how plaque biofilm reacts momentarily but do not influence mineralized buildup. Examining these factors highlights the complexity of tartar management and encourages a more informed perspective when evaluating online claims.How Routine Influences Long Term Outcomes
Daily habits play a larger role than people expect, and they often influence how much work is required to manage buildup, even before trying to Remove Tartar. The timing of meals, frequency of mouth dryness, and types of beverages consumed throughout the day all contribute to plaque behavior. Some individuals naturally produce more viscous saliva, which slows down the natural rinsing process. Others consume foods that leave more residue on the tooth surface, encouraging faster plaque accumulation. Routine also impacts how people interpret results. Those who engage in consistent brushing patterns may perceive gradual improvements, not because tartar is being removed, but because new buildup forms more slowly. Conversely, irregular routines may create the illusion that tartar appears suddenly, when in reality it has been forming steadily over time. These insights help readers approach their oral environment with more clarity and less frustration.Interpreting Online Before and After Images
Images claiming to show how to Remove Tartar without professional tools often circulate widely. Yet photographic variables influence these visuals more than most viewers realize. Different camera sensors capture enamel texture differently. Shadows cast by uneven lighting can mimic the appearance of removed deposits, while filters can artificially brighten tooth surfaces. This makes online comparisons interesting but unreliable as scientific evidence. Studies in dental imaging show that even small adjustments in brightness or contrast can exaggerate or hide surface irregularities. Furthermore, enamel color itself varies from person to person, meaning two people with similar levels of tartar can appear drastically different in photos. By understanding these optical distortions, readers can interpret viral images more critically and avoid unrealistic expectations.
Why the Feel of Your Teeth Can Be Deceptive
Another compelling observation involves how people perceive smoothness after attempting to Remove Tartar naturally. The tongue is extremely sensitive to texture, and even minor changes in plaque density can feel dramatic. When early stage plaque softens or surface stains reduce, the tongue may interpret this as significant improvement. But tactile perception is not always a reliable measure of what remains on the enamel. Research on oral texture perception shows that the tongue cannot accurately detect deeper layers of hardened calculus. It can, however, sense micro changes in surface film. This explains why some individuals feel progress while the visual appearance remains unchanged. Understanding this sensory bias helps people stay grounded in the reality of what natural methods can and cannot accomplish.Reevaluating the Meaning of Natural Tartar Management
When people explore ways to Remove Tartar without professional tools, they are often motivated by curiosity rather than unrealistic expectations. The scientific complexity behind tartar formation makes this exploration fascinating. Natural factors can influence early plaque stages, environmental conditions can affect how fast buildup forms, and personal habits shape long term patterns. Each of these elements contributes to a richer understanding of the oral ecosystem. In the broader context, it becomes clear that natural methods have limitations, yet they offer valuable insights into how the mouth behaves daily. They help individuals recognize early signs of plaque transformation, understand the factors that encourage mineralization, and observe how their routines influence outcomes. This deeper awareness creates a more informed, analytical perspective rather than a purely results driven approach.Rethinking Tartar Through a Scientific Lens
Attempts to Remove Tartar at home reveal far more about oral biology than most people realize. While hardened calculus itself does not detach through simple home techniques, the journey of observing, experimenting and learning uncovers meaningful patterns. From microbiome dynamics to salivary chemistry, from optical illusions to tactile perception, each factor helps explain why tartar behaves the way it does. Instead of treating tartar removal as a simple task, viewing it as an evolving scientific puzzle allows readers to appreciate the complexity of their oral environment. This mindset transforms everyday routines into opportunities for understanding rather than frustration. By exploring the science behind plaque and its transformation into calculus, individuals gain insight, clarity and a more grounded perspective on what truly influences change.Get Your Free Consultation
Have questions? Leave your details and we'll get back to you as soon as possible.
Get Free Consultation