



Trusted Zirconium Crowns in Turkey
Restore Strength and Beauty with Zirconium Crowns in Turkey
Zirconium Crowns in Turkey are an ideal solution for patients seeking durable, biocompatible, and highly aesthetic restorations. At ClinicHI in Istanbul, our skilled dentists combine advanced technology with premium zirconia materials to deliver crowns that provide strength while maintaining a natural, lifelike appearance.
With lifetime guaranteed zirconium crowns, customized treatment plans, free VIP transfers, and 5 star accommodation, patients not only protect and enhance their teeth but also enjoy a smooth, reliable, and transparent journey from consultation to aftercare.

Zirconium Crowns in Turkey – Natural Look, Lasting Strength
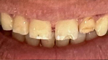
From weakened or discolored teeth to flawless and durable restorations, each transformation reflects the precision and reliability of zirconium technology. Explore the remarkable before & after results of our patients at ClinicHI.


Discover the Real Experience of Zirconium Crowns in Turkey
ClinicHI shares real patient journeys through authentic video reviews. Hear directly from those who experienced Zirconium Crowns in Turkey and see how durability, aesthetics, and comfort come together at ClinicHI.
What Are Zirconium Crowns?
Overview of Zirconium Crowns
Zirconium crowns are dental restorations made from zirconium dioxide, a remarkably strong and biocompatible ceramic material. They are frequently used to cover significantly damaged, heavily decayed, or structurally weakened teeth. The primary goal is to restore the tooth’s fundamental attributes:
- Strength and structural integrity
- Normal chewing function
- Natural and lasting aesthetic appearance
Zirconia crowns are highly valued in modern dentistry for their exceptional durability, natural look (especially full-contour zirconia), and superior resistance to fracture compared to traditional ceramics, making them a preferred choice for both visible front teeth (anterior) and molars (posterior) where biting force is maximal.
How Zirconium Crowns Work and Their Durability
A zirconia crown is meticulously custom-made, often using CAD/CAM technology, to ensure a perfect fit over the prepared, underlying tooth structure. It acts as a protective "cap," taking the brunt of chewing and biting forces while maintaining the natural contour and position of the tooth. Once permanently bonded or cemented to the tooth, it ensures long-term stability and effective protection against further damage.
Zirconia crowns are celebrated for their resilience, being highly resistant to:
- Wear and abrasion from daily chewing
- Fractures or chipping, even under heavy load
- Staining from commonly consumed food and beverages
This inherent strength makes them ideal for patients seeking reliable, long-term restorations that blend seamlessly with their natural teeth.
Longevity and Lifespan of Zirconium Crowns
The lifespan of a high-quality zirconia crown is impressive, typically lasting **15–20 years**. However, their true longevity is highly dependent on a few key factors:
- Oral Hygiene: Consistent and excellent brushing and flossing are crucial, particularly around the crown margins.
- Regular Checkups: Routine dental monitoring allows the dentist to detect any potential issues (like margin decay or micro-chipping) early on.
- Harmful Habits: Avoiding habits like clenching, teeth grinding (bruxism), or using teeth as tools is essential. Patients with bruxism may require a protective nightguard.
While 15-20 years is the standard, with exceptional and continuous care, some zirconia crowns have been documented to remain functional and aesthetically pleasing for up to 30 years.
Adjustment and Functionality
After the crown placement, a patient may feel the crown slightly "high" or notice minor sensitivity. This usually resolves within **1–2 weeks** as the muscles and bite naturally adjust. Dentists conduct a final "bite equilibrium check" to ensure perfect alignment, sometimes requiring minor polishing.
Once fully settled, normal function is completely restored. Patients can chew and enjoy a regular diet without restrictions. Due to their high stain resistance, drinking coffee, tea, or red wine is safe, though good oral hygiene will always help preserve the surface shine.
Tooth Preparation and Suitability
To properly seat a zirconia crown, the underlying tooth structure must be prepared by removing a minimal amount of enamel. This preparation is critical to:
- Ensure the crown fits perfectly without bulkiness.
- Allow enough material thickness for optimal strength.
- Provide the most natural, seamless appearance.
Zirconia crowns often require **less aggressive tooth reduction** compared to older-generation porcelain-fused-to-metal (PFM) crowns, helping to preserve more of the patient's natural tooth structure.
Zirconia is particularly recommended for **back teeth (molars and premolars)** due to its ability to handle high bite forces and its superior fracture resistance.
Failure Rate and Zirconia Crowns in Turkey
Zirconia crowns boast a notably low failure rate, typically below 5% over a decade. Failures are usually linked to technical issues such as:
- Improper cementation or bonding failure.
- Development of secondary decay at the crown margin.
- Micro-fractures caused by excessive, unmanaged forces (bruxism).
In Turkey, crowns have similar expected lifespans (15–20 years) as they do globally, as the quality is governed by the material and preparation technique. Turkey excels in offering high-quality zirconia restorations at lower overall costs due to competitive dental tourism markets and streamlined operational procedures, often utilizing advanced digital CAD/CAM systems for superior precision and fit.
Best Age and Suitability
Zirconium Crowns are generally recommended for adults after age 18, once the jawbone has fully developed. There is no strict upper age limit, as long as bone density and overall health are adequate. Patients with chronic illnesses, severe bone loss, or conditions affecting healing may require alternative treatments.
Why Zirconium Crowns Are Worth It
Zirconium Crowns treatments are often seen as a valuable investment in smile aesthetics because they:
- Create a brighter and more symmetrical appearance
- Correct discoloration, gaps, chips and mild alignment issues
- Enhance facial harmony with custom designed veneers or crowns
- Provide long lasting aesthetic improvement with minimal maintenance
Zirconium Crowns vs Other Dental Crowns
Zirconium crowns have become increasingly popular in modern dentistry due to their strength, durability, and aesthetic appeal. Comparing them with other types of dental crowns helps patients make informed decisions about which option best suits their needs.
Comparison with Porcelain Crowns
Porcelain crowns are known for their natural appearance and translucency, making them ideal for front teeth. However, they are more prone to chipping or cracking compared to zirconium crowns. Zirconium crowns provide greater strength while still maintaining a natural look, especially when used in areas subject to heavy chewing forces.
Comparison with E-Max Crowns
E-Max Crowns offer excellent aesthetics and translucency, particularly for front teeth, but they may be slightly more fragile than zirconium crowns in high-pressure areas. Zirconium crowns provide superior durability, making them suitable for molars or patients who grind their teeth, while E-Max crowns remain a preferred choice for highly visible teeth due to their lifelike appearance.
Zirconium Crowns Maintenance and Care Tips
Maintaining zirconium crowns properly is crucial for ensuring their durability, natural appearance, and long-term performance. With the right care, these crowns can last for many years, offering both aesthetic and functional benefits.
Tips for Long-Lasting Results
To ensure your zirconium crowns last as long as possible, avoid biting or chewing hard objects such as ice, pens, or hard candies. Regular dental check-ups every six months are recommended to monitor crown integrity and oral health. For patients who grind or clench their teeth, using a night guard can prevent unnecessary stress on the crowns.
How to Clean and Protect Your Crowns
Good oral hygiene is essential for maintaining zirconium crowns. Brush your teeth twice daily using a soft-bristled toothbrush and non-abrasive toothpaste. Floss regularly to remove food particles and plaque between teeth and crowns. Limit consumption of staining foods and drinks such as coffee, tea, and red wine, and schedule professional cleanings as recommended by your dentist to maintain the crown’s shine and longevity.
FAQ About Zirconia Crowns
Zirconia crowns are a popular choice for their durability, strength, and aesthetic appeal. Here are answers to frequently asked questions to help patients understand their options and care requirements.
Porcelain Teeth or Zirconium?
Both materials have their advantages. Porcelain offers superior translucency and aesthetics, ideal for front teeth. Zirconium is stronger and more resistant to chipping, making it better for molars or patients needing extra durability.
How Should Zirconium Post-Teeth Nutrition Be?
After zirconium crown placement, it’s important to avoid excessively hard or sticky foods for the first few days. Maintaining a balanced diet and avoiding staining foods like coffee and red wine can help preserve the crown’s appearance.
Can Zirconia Crown Be Applied In The Treatment Of Crooked Teeth?
Yes, zirconia crowns can be used to correct minor misalignments or uneven teeth. However, severe orthodontic issues may require braces or aligners before crown placement.
Will There Be Pain When Applying Zirconium?
Zirconium crown procedures are performed under local anesthesia, so patients generally feel little to no pain during the process. Mild discomfort may occur during the initial recovery period.
Zirconium Is Better Or An Implant?
Zirconium crowns and dental implants serve different purposes. Zirconium crowns restore the visible part of damaged teeth, while implants replace missing teeth entirely, including the root. The choice depends on the patient’s dental condition.
Does Zirconium Smell In The Mouth?
No, high-quality zirconium crowns do not produce any odor. Proper oral hygiene ensures that crowns remain clean and odor-free.
Zirconium Veneer Is Better Or Lumineers?
Zirconium veneers are highly durable and strong, while Lumineers are ultra-thin and require minimal tooth reduction. The choice depends on durability needs, aesthetics, and the amount of natural tooth preservation desired.
Does The Color Of The Zirconium Teeth Change?
Zirconium crowns are highly resistant to staining and discoloration. With proper care and regular dental cleaning, their color remains stable for many years.
Can You Be Allergic To Zirconia Crowns?
Zirconia is biocompatible and rarely causes allergic reactions. Patients with metal sensitivities often prefer zirconium crowns as a safe alternative to metal-based options.
How To Remove Zirconium Crown?
Removal of a zirconium crown should only be performed by a dentist using specialized tools to avoid damaging the underlying tooth structure. This procedure is generally required only in rare cases, such as damage or replacement needs.
Can Teeth Decay After Zirconia Crown?
While zirconium crowns themselves do not decay, the underlying tooth can still develop cavities if proper oral hygiene is not maintained. Regular brushing, flossing, and dental check-ups are essential to prevent decay.
Dental Tourism: Turkey and Other Countries
Countries like Turkey, Hungary, Poland, and Mexico are popular for Zirconium Crowns due to high-quality care at lower costs. Turkey, in particular, attracts patients with modern techniques, certified specialists, and competitive pricing while maintaining reliable outcomes.
